L’AQUILA – Impiantata una protesi su misura, realizzata con tecnologia 3D, al posto delle ossa del bacino distrutte dalla ‘polverizzazione’ di una precedente protesi d’anca applicata molti anni prima. E’ questo, in sintesi, l’intervento, effettuato alcune settimane fa, su una donna di 78 anni della provincia di L’Aquila che, a pochi giorni dall’operazione, aveva già ripreso a deambulare, sia pure con gradualità, seguendo un programma di riabilitazione. L’intervento è stato eseguito dal prof. Giandomenico Logroscino, direttore del reparto, a direzione universitaria, di Chirurgia ortopedica Mininvasiva e Computer assistita dell’ospedale di L’Aquila.
Si tratta di un’operazione complessa che può essere compiuta solo da strutture altamente specializzate e con professionalità elevate. La paziente aveva subito la progressiva erosione del bacino in seguito a una protesi d’anca che le era stata impiantata nel 2000 in un ospedale del Lazio e che nel tempo si era usurata.
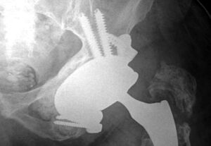
Le comuni protesi disponibili sul mercato non erano adatte al caso e per questo è stato necessario procedere, tramite il ricorso alla tecnologia, alla ricostruzione di un impianto su misura. Un pool di ingegneri biomedici, mediante un software, ha elaborato un progetto che è stato discusso con i chirurghi i quali hanno simulato l’intervento al computer, lavorando su forma e dimensione di ogni componente protesica, alla luce delle caratteristiche anatomo-patologiche della paziente. Si è così passati alla realizzazione della protesi tramite la moderna tecnologia a stampa 3D in titanio trabecolato e, infine, all’intervento chirurgico per impiantarla.
In sala operatoria sono state realizzate delle riproduzioni tridimensionali in plastica del bacino e dell’impianto per le valutazioni di prova delle componenti. Per la ricostruzione è stato necessario anche l’utilizzo di innesti ossei da banca dell’osso. L’intervento è durato circa 3 ore e si è svolto senza complicanze. Pochi giorni dopo l’operazione, la paziente ha ripreso a deambulare grazie a un percorso di riabilitazione intensiva ed entro 2-3 mesi potrà tornare a svolgere una vita normale.
“La possibilità di compiere questo tipo di intervento, appannaggio di pochi ospedali”, dichiara Logroscino, “si deve alla lungimiranza del Manager della Asl, prof. Ferdinando Romano, sempre attento alle nuove tecnologie e innovazioni, e alla sinergia tra il servizio Farmaceutico e quello di Beni e servizi. Con operazioni di questo spessore il San Salvatore, in cui peraltro negli anni scorsi era già stato eseguito un impianto analogo, conquista spazi importanti nel panorama della sanità della chirurgia ortopedica protesica ricostruttiva, esercitando un crescente richiamo anche al di fuori dei confini abruzzesi e limitando così il flusso di pazienti verso strutture di altre Regioni con conseguente aggravio di costi sanitari.”
